티스토리 뷰

요즘
철원과 양천구에 말라리아 경보 뉴스로 떠들썩 합니다. 갑자기 이게 왠 일인가 싶습니다. 특히 모기가 많은 여름철이 다가온 지금 이 시점이라 공포감과 걱정은 더욱 커지고 있습니다.
말라리아, 아직 까지 저는 경험해 보지 못했지만, 얘기는 어릴 때 부터 들었던 무시무시한 병으로 기억되고 있습니다.
그래서 모기를 더욱 싫어 하는 것은 아닌가 싶습니다.
말라리아에 대해 궁금하신 분들이 많을 것입니다. 안그래도 집에 모기가 많은데..
산 근처, 하천 근처라 여름철만 되면 모기와 전쟁중이신 분들은 더욱 걱정스러울 겁니다.
하지만, 예방을 잘하고 어떤 병인지 알고 있다면!
빠른 대응을 할 수 있을 것입니다.
말라리아는 어떤 병인지, 한번 알아보도록 하겠습니다.
https://news.kbs.co.kr/news/pc/view/view.do?ncd=8007345
서울 양천구에 말라리아 군집사례 발생…말라리아 경보 발령
서울 양천구에서 2명의 말라리아 환자 군집사례가 발생해, 서울시가 오늘(9일) 오후 5시를 기해 '말라리아...
news.kbs.co.kr
https://www.yna.co.kr/view/AKR20240711065500062
강원도, 철원에 말라리아 경보…"모기에 물리지 않는 게 최선" | 연합뉴스
(춘천=연합뉴스) 이해용 기자 = 강원도는 11일 철원군에 도내 첫 말라리아 경보를 발령했다고 밝혔다.
www.yna.co.kr
1. 말라리아란?
2. 말라리아의 원인
3. 말라리아의 증상
4. 말라리아의 진단
5. 말라리아의 치료
6. 말라리아의 예방
7. 말라리아 각종 이슈
1. 말라리아란?
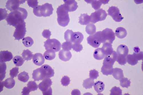
말라리아는 모기에 물려서 생기는 병으로, 특히 따뜻한 지역에서 많이 발생합니다. 이 병은 플라스모디움(Plasmodium)이라는 기생충에 의해 발생하며, 감염된 모기가 사람을 물 때 이 기생충이 몸에 들어와 병을 일으킵니다. 전 세계적으로 매년 수백만 명이 말라리아에 감염되며, 특히 아프리카 지역에서 심각한 문제로 대두되고 있습니다.


2. 말라리아의 원인
말라리아는 주로 아노펠레스 모기에 의해 전파됩니다. 모기가 감염된 사람의 혈액을 빨아먹고, 이후 다른 사람을 물 때 기생충을 전달합니다. 이외에도 감염된 피를 통한 수혈, 장기 이식, 그리고 감염된 모체에서 태아로도 전파될 수 있습니다.
3. 말라리아의 증상
말라리아에 걸리면 다양한 증상이 나타날 수 있으며, 일반적으로 감염 후 10일에서 4주 사이에 증상이 발현됩니다. 주요 증상은 다음과 같습니다.
고열: 갑자기 열이 나고, 매우 높을 수 있습니다.
오한: 몸이 떨리고 추운 느낌이 듭니다.
두통: 심한 두통이 동반될 수 있습니다.
근육통: 몸 여기저기 근육이 아픕니다.
구토와 설사: 속이 안 좋고 설사를 할 수 있습니다.
빈혈: 기생충이 적혈구를 파괴해 빈혈이 발생할 수 있습니다.
4. 말라리아의 진단
말라리아는 병원에서 피 검사를 통해 진단할 수 있습니다. 의사가 현미경으로 혈액 속의 기생충을 직접 보거나, 신속 진단 키트를 사용해서 빠르게 알아낼 수 있습니다. 진단이 빠를수록 치료 효과가 높아지므로 의심 증상이 있으면 즉시 진단을 받는 것이 중요합니다.
5. 말라리아의 치료
말라리아는 약물로 치료할 수 있습니다. 대표적인 치료 약물로는 아르테미시닌 기반 복합 치료(Artemisinin-based Combination Therapies, ACTs)가 있습니다. 이 약물은 플라스모디움 파르시파룸(Plasmodium falciparum)에 효과적이며, 다른 말라리아 기생충에도 사용될 수 있습니다. 치료는 빠르게 시작하는 것이 중요하며, 약물 내성 문제가 있으므로 정확한 진단 후 적절한 약물을 사용하는 것이 중요합니다.
6. 말라리아의 예방
말라리아를 예방하기 위한 방법은 다음과 같습니다.
모기장 사용: 잠잘 때 살충 처리된 모기장을 사용하면 모기에 물리는 것을 효과적으로 예방할 수 있습니다.
모기 기피제 사용: DEET, 피카리딘 등의 기피제를 사용하여 모기에 물리는 것을 예방합니다.
예방 약물 복용: 말라리아 유행 지역을 여행할 때 예방 약물을 복용하면 감염을 예방할 수 있습니다.
환경 관리: 모기가 번식하는 환경을 관리하고 제거하는 것이 중요합니다. 예를 들어, 고인 물을 제거하고 살충제를 사용하는 것이 효과적입니다.
7. 말라리아 각종 이슈
대한민국에서도 말라리아에 대한 경각심이 높아지고 있습니다. 최근 질병관리청은 '세계 말라리아의 날'을 맞아 2030년까지 국내 말라리아를 퇴치하기 위한 '제2차 말라리아 재퇴치 실행계획'을 발표했습니다. 이 계획은 말라리아 없는 대한민국을 목표로 하며, 환자 감시 및 위험관리 강화, 매개모기 감시 및 방제 강화, 협력 및 소통체계 활성화, 말라리아 퇴치 기반 구축 등의 전략을 포함하고 있습니다.
또한 강원도 철원과 서울 양천구에 말라리아 경보, 군집사례가 발생했으니 모기에 안물리는게 최선입니다.
요약
말라리아는 모기 때문에 생기는 위험한 병이지만, 예방과 치료가 가능합니다. 모기에 물리지 않도록 주의하고, 말라리아가 많이 발생하는 지역에서는 예방 조치를 철저히 하는 것이 중요합니다. 또한, 최근 대한민국에서도 말라리아 퇴치를 위한 다양한 노력이 진행되고 있으며, 이러한 정보와 노력을 공유함으로써 말라리아 퇴치에 기여할 수 있습니다.